Viral hepatitis is only now becoming more important on the international agenda and becoming recognised as a global health problem. The virus was an important topic during the World Health Assembly two weeks ago, which took place in Geneva. It was described as a silent epidemic and a significant global health issue.

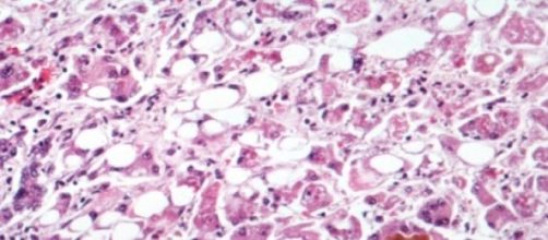
Hepatitis is a viral infection, which affects your liver and causes inflammations. There are five types of Hepatitis, categorized as A, B, C, D and E, which all have different degrees of seriousness and duration. The Hepatitis B virus and Hepatitis C virus are the most serious ones out of the five types.

One can get hepatitis B through the contact with infected blood or other body fluids, for example from sexual intercourse with someone who is already infected or from sharing needles when taking drugs. Some people can get cured from this type of hepatitis. However, others become carriers of the hepatitis B virus even though their symptoms disappear. Additionally, infected mothers can give the Hepatitis B virus to their children. The highest prevalence of hepatitis B is in the Sub-Sahara and in East Asia; where between 5-10 % of the adults are chronically affected according to the World Health Organisation. Furthermore, it is stated on the website of the World Health Organisation that around "780 000 people die from hepatitis B infection each year and 650 000 from cirrhosis and liver cancer due to chronic hepatitis B infection and another 130 000 from acute hepatitis". 

The hepatitis C virus infects people in similar ways.

One can get infected when using needles or if one has contact to contained blood. In contrast, hepatitis C can be found worldwide, mostly in Central and East Asia and North Africa. Globally, 130-150 million people have chronic hepatitis C infection according to data of the World Health Organisation. There are currently no vaccines for the hepatitis C virus. This is a major problem and and more money has to be made available for funding Research and Development

Another serious problem is the one of access and that the most vulnerable groups have to be reached, which are affected by the hepatitis virus. These groups suffer the most and receive the least attention. Mostly young people are affected and even in rich countries treatment is on a very low level.

For the very first time a global health action plan will now be set up in order to fight hepatitis B and C. Furthermore, the first world hepatitis summit will take place this year in Scotland. This is hopefully a step forward since complex strategies across countries are needed, in which the progress remains uneven.